A Family Dentist
No dental insurance? No problem.
We now offer a
dental membership program
.
A Family Dentist
No dental insurance? No problem.
We now offer a
dental membership program
.
Request an Appointment
Like us on Facebook
Visit us on Yelp
Leave a Google Review
(813) 642-8885
General and Aesthetic Dentistry
768 Cortaro Dr. Sun City Center, FL 33573
Menu
Call
Book Now
Map
Home
About
Our Team
Technology
Office Pictures
Services
View All
CEREC Crowns and Bridges
Cosmetic Dentistry
Dental Implants
Full and Partial Dentures
General Dentistry
Periodontal Disease Prevention and Treatment
Root Canals
Tooth Extraction
Tooth-Colored Fillings
Smile Gallery
Testimonials
Patient Info
View Patient Info
Your First Visit
Financial
FAQs
Contact
A Family Dentist
>
Smile Gallery
>
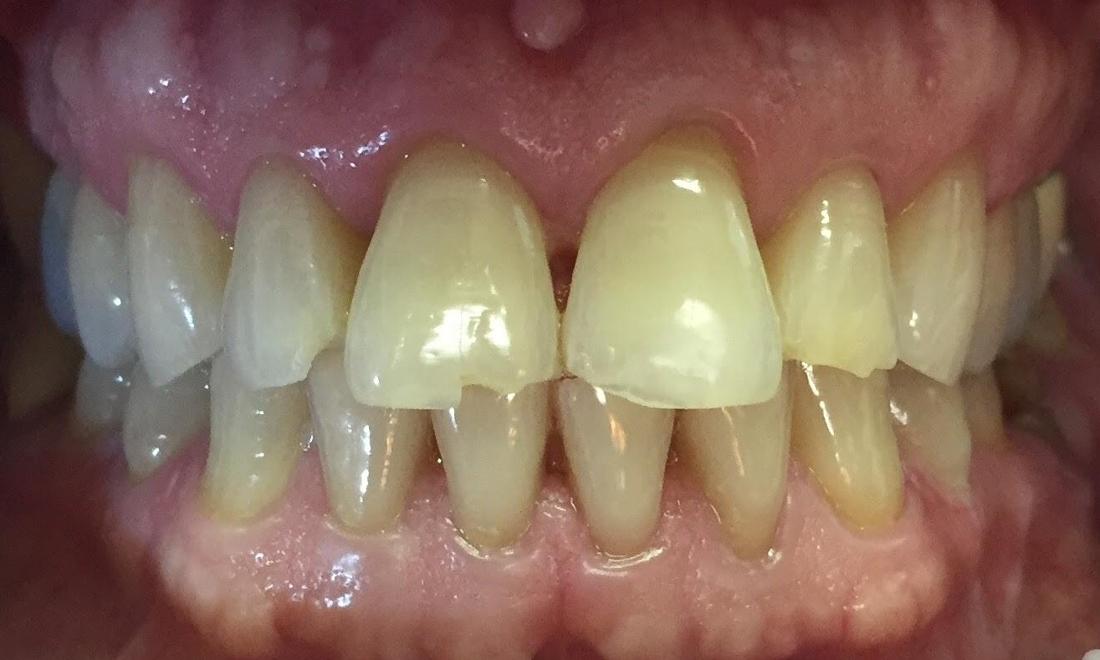
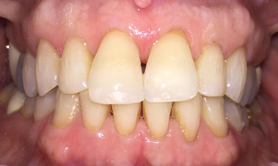
Bonded Composite Restoration
Bonded Composite Restoration
Return to Smile Gallery
Previous
Next
A new bonded composite restoration to replace a pre-existing, failing restoration.
Related Services:
General Dentistry
Click image to see a larger picture
Before
After
Before
After
Before
After
Getting an appointment is
fast
and
easy
!
Get Started!
If you have difficulty using our website, please
email us
or call us at
(813) 642-8885
View the
ADA Accessibility Statement
Turn on ADA Views
OK!
×
×
Contact Us Today
Give Us A Call
A Family Dentist -
(813) 642-8885
Send Us an Email
Request an Appointment
Contact Us
Ready to Schedule an Appointment?
Book Online
Have Questions? Contact Us:
Required Field
Your Name:
Phone:
Email:
Are you a new patient?:
Are you a?
New Patient
Current Patient
How would you like us to contact you?
Please choose
Email
Call
How did you hear about us?
Please choose
I'm an existing patient
Google/Bing
Mailer
Word of mouth
Social media
Other
Who Referred You?:
Appointment Preferences
Monday
Tuesday
Wednesday
Thursday
Friday
Your Message:
This site is protected by reCAPTCHA and the Google
Privacy Policy
and
Terms of Service
apply.
Sending...
×
This Patient's Experience
Loading Testimonial...
Loading Case...